10:00~13:30
14:30~18:00
| 診療時間 | 月 | 火 | 水 | 木 | 金 | 土 | 日 | 祝 |
|---|---|---|---|---|---|---|---|---|
| 9:00~13:30 | ● | ● | ● | ● | ● | ▲ | 休 | 休 |
| 14:30~18:00 | ● | ● | ● | ● | ● | 休 | 休 | 休 |
休診日:日曜・祝日(木曜・土曜は隔週休み)
▲:土曜日は09:00~15:00まで
10:00~13:30
14:30~18:00
| 診療時間 | 月 | 火 | 水 | 木 | 金 | 土 | 日 | 祝 |
|---|---|---|---|---|---|---|---|---|
| 9:00~13:30 | ● | ● | ● | ● | ● | ▲ | 休 | 休 |
| 14:30~18:00 | ● | ● | ● | ● | ● | 休 | 休 | 休 |

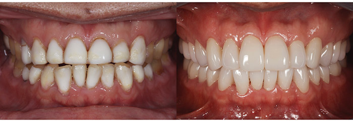
セラミック治療は、失った歯や欠けた歯に対して、セラミック素材を用いて天然歯に近い色合いや形、質感を再現する補綴治療です。 見た目だけをきれいにするのではなく、歯並びや噛み合わせなども改善し、白く美しい歯と機能性を兼ね備えて患者様へご提供します。
セラミック治療は保険適用外の自由診療ですが、歯の審美面を改善しつつ歯並びなどお口の中の治療を併行して行うことができます。
下記のお悩みがある方はセラミック治療をおすすめします。
保険診療で大きな虫歯の治療をすると詰め物や被せ物では銀歯を使用します。しかし、白い歯の中にある銀歯は目立ちます。 セラミック素材を用いた詰め物や被せ物を使用することで白く自然な見た目を手に入れることができ、一目では気付きません。
歯の色は年齢を重ねると色素が沈着して黄ばんだり黒ずんだりしていきます。 セラミック治療を行うことで、ご自身の歯を自然な白さの歯にできます。
銀歯などは経年劣化していき、周囲の歯茎を変色してしまう恐れがあります。 セラミック素材は様々な種類があり、素材を自由に選べるため、患者様の体質や歯の色、ご予算に合わせて治療を受けることができます。
セラミック治療は歯並びや口元の見た目を整えることで、白く美しい歯を維持していただくことを目的とした治療です。 歯を美しくするメリットは「見た目だけ」というわけではありません。セラミックを使用することで、保険治療で扱う銀歯による金属アレルギーの心配がなく、より丈夫で長持ちする素材が使用できます。
ですが、「審美面を追求するあまりに、歯の健康を損なう危険性がある」治療法であると心得ておくことが大切です。 セラミック治療の中には、すでに健康な歯をさらに白く見せるために、セラミック素材の被せ物などを歯の上に張り付けるという治療があります。しかしながら、元々ある歯の上から何かを装着する場合、歯の表面を削らなければなりません。 歯を削ってしまうと、もともと健康だった歯へのダメージは避けられません。歯を削ることによって歯そのものが弱くなり寿命も短くなってしまいます。そして、お口全体のバランスが崩れてしまう危険性があります。
セラミック治療を受ける前に、必ず歯科医師とじっくり話し合った上で、治療におけるメリットデメリットを理解し、どのくらいの費用がかかるのか分かった上で、ご自身が納得してから治療を受けるようにしてください。 メリットだけを見るのではなく、デメリットもあることをご自身で理解することが満足のいく治療の第一歩です。
代表的なセラミックの種類と特徴をご説明いたします。


自然歯を超える輝くツヤと透明感を実現するセラミックスとは虫歯治療の際の銀や金のかぶせものが気になることもあるはずです。
当医院のオールセラミックは、天然歯と変わらないほどの審美性を持つだけでなく、硬くて割れにくいのが特徴です。
虫歯を削ったところに詰める充填物をインレーといいます。これまでは金属のインレーが主流でしたが、目立つ金属のかわりにセラミックスなどを使用することが多くなってきました。

金属を使わずに治療をすることが可能なため、金属アレルギーの方はもちろん、より自然な仕上がりを希望される方にも向いています。
現在、金属の詰め物をされている方でも手軽にセラミックインレーに変えていただくことができます。
⾍⻭を削ったところにコンポジットレジンと呼ばれる⽩いプラスティックを詰める治療です。
セラミックインレーに⽐べて、⻭を削る量が少なくて済むのがダイレクトボンディングのメリットです。前⻭にも奥⻭にも施術可能です。
また、ダイレクトボンディングは隙間の改善治療にも行うことができます。




まずは、患者様が不満に思っている点(形や色)、治療に対するご希望をじっくりおうかがいします。何でもご相談ください。しっかりとカウンセリングを行った後、レントゲン写真、歯型、口腔内写真などを用いて、詳しく検査をいたします。

検査の結果と、患者様のご希望を把握・分析したのち、いくつかの治療プランのご提案をいたします。
その後、治療期間、費用等をふまえて患者様に治療法を決めていただきます。いよいよ治療です。

型取りの前に、必要があれば根の治療、虫歯の除去、補強が必要であればファイバー補強等の準備を行います。その一つ一つの治療行程が、治療後の審美性を左右します。 精密な仮歯を製作し、歯肉圧排(しにくあっぱい)で型取りの準備を行います。 精度の高いシリコンを用い、精密な型取りをしたあとにセラミックを製作していきます。

キレイに型取りをするために、型取りの直前に歯と歯茎の間に約0.5mm程度の糸を入れます。これを歯肉圧排とよびます。 この操作は時間がかかり、麻酔が必要で、型取りの後に痛みが出る事もありますが、歯茎の根っこの部分まで型取りするには必ず行う必要があります。

大谷歯科クリニックではすべての審美治療で、シリコンの 材料を使っております。
シリコンの材料は、型取りのコストが高く、硬化まで時間もかかりますが、型取り後の寸法変化が少なく、歯茎の奥まで型取りをしても、ちぎれる事無く精密な型取りができます。
通常は前歯2、3本のセラミックの型取りにトータル1時間程度かかります。
型取りまで準備等の時間が長く、患者様には苦しい時間に感じるかもしれませんが、お口の中で長年キレイな状態を保てるようなセラミックを作るには、このような型取りを行う必要があります。

出来上がったセラミックをセットします。 セラミック治療の治療行程のすべてのステップが、保険診療とは 材料、かける時間、手間が違います。 こうすることで、健康な歯肉・キレイなセラミックが完成し、 長い間健康で、キレイな状態を容易にキープすることができます。

自分では奥歯は見えませんが、毎日の生活では笑ったり、あくびをしたり、自分の歯の奥歯は、自分より他人の方が見る状況が多いです。
大きくお口を開けて笑ったときに、金属が気になるという方は奥歯の審美歯科(セラミック)治療をおすすめします。
奥歯をセラミックにすることで、笑った時も、あくびをした時でも、健康的でキレイな奥歯にすることができます。


〒113-0033
東京都文京区本郷3丁目27-1
本郷モトフジビル 2F
| 診療時間 | 月 | 火 | 水 | 木 | 金 | 土 | 日 | 祝 |
|---|---|---|---|---|---|---|---|---|
| 9:00~13:30 | ● | ● | ● | ● | ● | ▲ | 休 | 休 |
| 14:30~18:00 | ● | ● | ● | ● | ● | 休 | 休 | 休 |